Invisalign® First Videos

What is Invisalign®?

Invisalign® is a modern way to straighten teeth using clear, custom-made aligners instead of traditional metal braces. These aligners are designed to fit comfortably over your teeth and gradually move them into the right position over time. Because they are nearly invisible, Invisalign is a great option for patients who want a more discreet and confident smile transformation.

One of the biggest benefits of Invisalign is its convenience. The aligners can be removed while eating, brushing, and flossing, making it easier to maintain good oral hygiene throughout your treatment. With a series of aligners changed every few weeks, Invisalign gently corrects issues like crooked teeth, gaps, and bite problems in a comfortable and flexible way.

Pediatric Dental Office Corinth TX

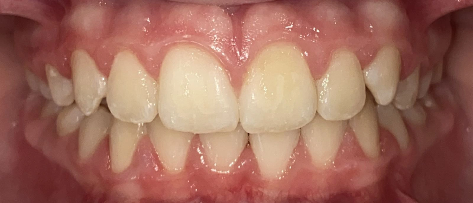
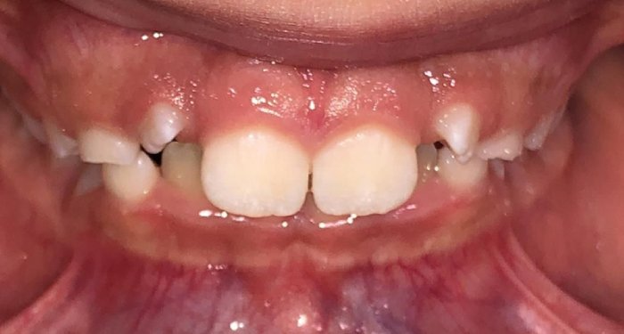
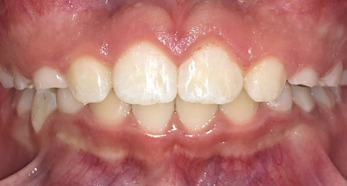
Actual Patient: Victoria

Img Before 1 1 Img After 1 1

Severe Crowding, Narrow Jaws, Severe Deep Bite

image 1 after img

Treatment Time:

8 months

Front View

Top View

Right & Left Sides

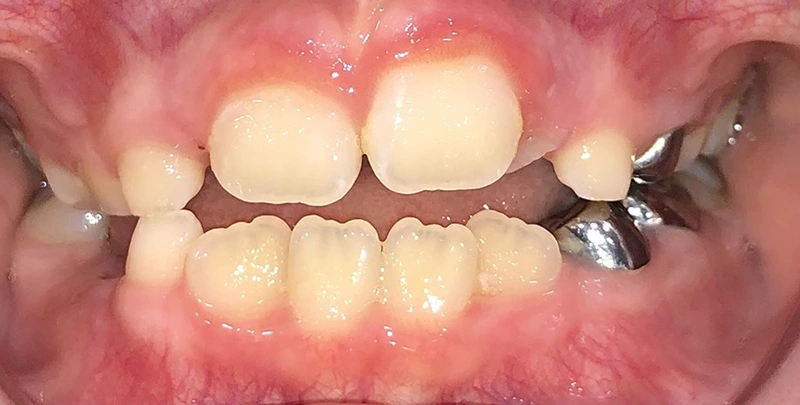
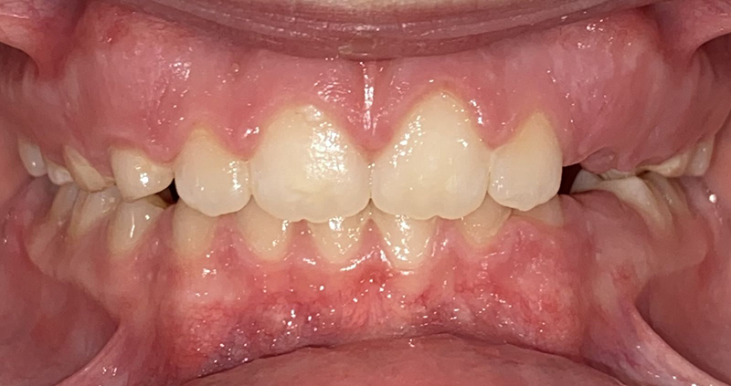
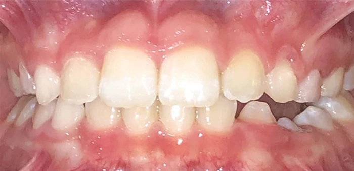
Actual Patient: Leanna

Img Before 2 2 Img After 2 1

Severe “Overbite”, BUCK TEETH, Narrow Jaws, Severe Deep Bite, Mouth breathing

Leanna Before 1 Leanna After 1 1

Treatment Time:

7.5 months

Front View

Top View

Right & Left Sides

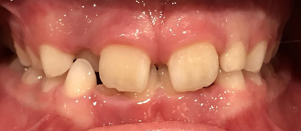
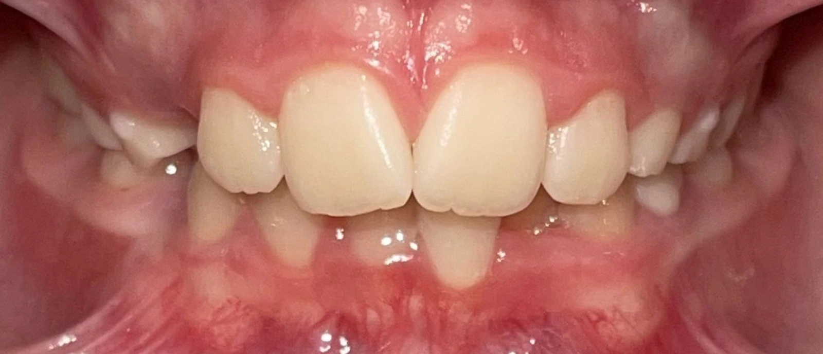
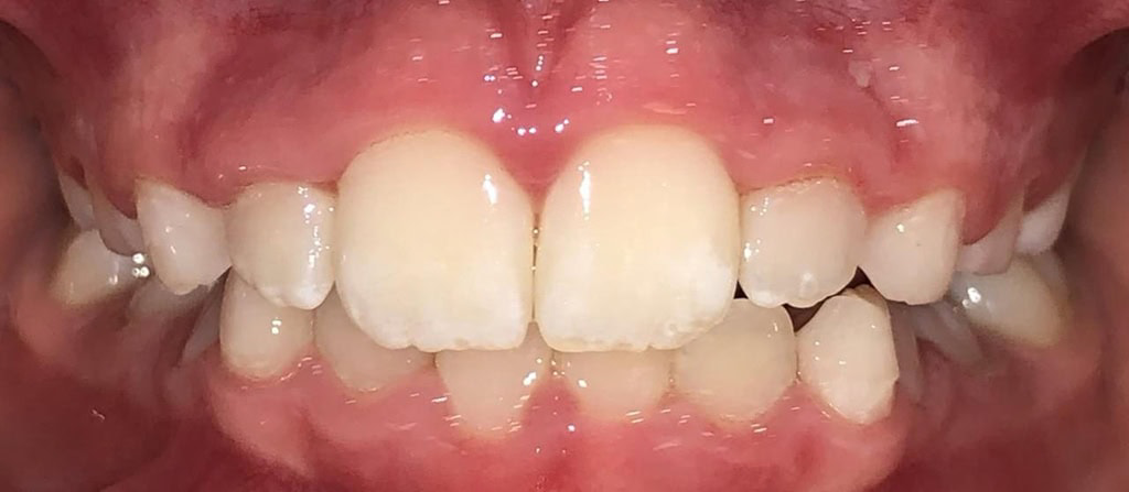
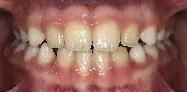
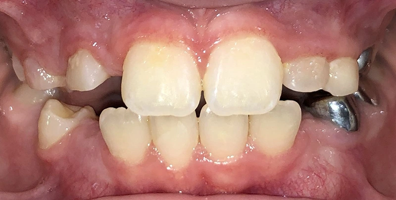
Actual Patient: Bailey

Img Before 3 1 Img After 3 1

Severe “Overbite”, BUCK TEETH, Narrow Jaws, Severe Deep Bite

Bailey Before 1 Beliy after img

Treatment Time:

7.5 months

Front View

Top View

Right & Left Sides

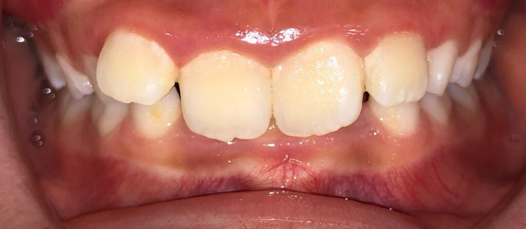
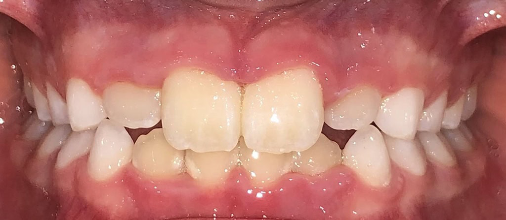
Actual Patient: Alexander

Alexander Before 4 Alexander After 4

Severe “Underbite”, Narrow Jaws, Adult Teeth Not Growing In

Alexander Before 1 Alexander After 1

Front View

Top View

Right & Left Sides

Front View Results

0 Month

6 Month

11 Month

Side View Results

0 Month

6 Month

11 Month

Top View Results

0 Month

6 Month

11 Month

Bottom View Results

0 Month

6 Month

11 Month

Actual Patient: Kai

Kai Before 5 Kai After 5

Severe Crowding, Traumatic Bite, Severe Deep Bite

Kai before 1 1 Kai after 1

Front View

Top View

Right & Left Sides

Actual Patient: Casen

Casen Before 6 Casen After 6

Severe crowding, Severe Deep Bite with trauma, Narrow Jaws

img Actual Patient Casen before 1 img Actual Patient Casen after 1

Before

After

Before

After

Actual Patient: Samuel

Samuel before1 img Samuel after1

Severe “Overbite”, BUCK TEETH, Narrow Jaws, Severe Deep Bite, Blocked out teeth

img Samuel before2 1 img Samuel after

Front View

Top View

Right & Left Sides

Actual Patient: Akshaya

img Akshaya Before 1 img Akshaya after

Severe crowding, big overbite, narrow jaws

img Akshaya Before 2 img Akshaya after 2 1

Front View

Top View

Right & Left Sides

Actual Patient: Heath

Heath Img Before 9 Heath Img After 9

Severe “Overbite”, BUCK TEETH, Narrow Jaws, Severe Deep Bite, Blocked out teeth

img Heath before 1 img Heath after 1

Front View

Top View

Right & Left Sides

Actual Patient: Nusaybah

img Nusaybah Before 1 img Nusaybah After

Severe crowding, narrow jaws, blocked teeth

img Nusaybah before 2 img Nusaybah After 2

Front View

Top View

Right & Left Sides

Actual Patient: Ellanor

img Ellanor before img Ellanor after

Severe Buck Teeth, severe crowding, narrow jaws

img Ellanor before before 1 img Ellanor after 1

Front View

Top View

Right & Left Sides

Actual Patient: Carlos

Carlos Img Before 12 CarlosImg After 12

Severe crowding, narrow jaws, severe Deep Bite

img Carlos before 1 img Carlos after 1

Front View

Top View

Right & Left Sides

Actual Patient: Addilyn

invisalign kids actual patient after invisalign kids actual patient before

Severe Crowing, Narrow Jaws, Open Bite, Mouth Breather

invisalign kids actual patient after 1 invisalign kids actual patient before 1

Front View

Top View

Right & Left Sides

Actual Patient: Arjun

img Arjun before img Arjun after

Severe crowding, narrow jaws, deep bite

img Arjun before 1 1 img Arjun after 1 1

Actual Patient: IVY

img IVY before 1 img IVY after 1

Severe crowding, narrow jaws, severe overbite

img IVY before img IVY after

Front View

Top View

Right & Left Sides